Dr. med. dent. Maik F. Behschad, Dr. med. dent. Andrea Thumeyer
Wahrscheinlich von der Tatsache geleitet, dass die Milchzähne im Laufe der kindlichen Entwicklung verloren gehen, versäumen es viele Eltern, den Milchzähnen ihrer Kinder die notwendige Aufmerksamkeit zukommen zu lassen. Trotz der flächendeckenden Gruppenprophylaxe in den Kindertagesstätten/Krippen und der damit verbundenen Informations- und Aufklärungsarbeit besteht leider bei vielen Eltern nach wie vor der Irrglaube, dass Säuglinge und Kleinkinder keiner professionellen zahnärztlichen Vorsorge bedürfen. Der Pflege der Milchzähne wird dann keine besondere Aufmerksamkeit geschenkt, weil kariöse Geschehnisse an Milchzähnen oftmals schmerzfrei verlaufen und sie schließlich durch die bleibenden Zähne ersetzt werden.
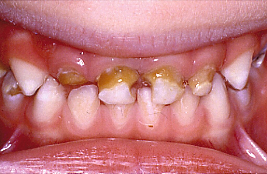
So wird auch heute noch bei jedem zweiten Kind in Hessen bei Schuleintritt eine Kontaktpunktkaries (= Approximalraumkaries) diagnostiziert. Bei 15 % aller unter dreijährigen Kinder liegen schwere Formen der frühkindlichen Karies (= Early Childhood Caries = ECC) vor (siehe Abb. 1).
Hier lässt sich eine proportionale Korrelation des Erkrankungsrisikos zum Bildungsniveau und sozialem Status der Eltern erkennen. Hauptursächlich ist jedoch die fehlende bzw. unzureichende Zahnpflege durch die Eltern, einhergehend mit hochfrequentem Konsum von Lebensmitteln mit freien Zuckern (WHO 2015). Hier sind in erster Linie aus der Nuckelflasche konsumierte zuckerhaltige Getränke zu nennen. Aber auch nächtliches Dauerstillen, die Verwendung alternativer Süßungsmittel (Honig, Agavendicksaft, Trockenfrüchte), die Qualität und Quantität des Mundspeichels – evtl. medikamentös beeinflusst –, die Verwendung fluoridfreier Kinderzahnpasten und die Vernachlässigung der Interdentalraumreinigung im Bereich der Milchmolaren führen bei unzureichender Mundhygiene zwangsläufig zur Zahnschmelzdemineralisation und letztendlich zur Milchzahnkaries. Sie ist als multifaktorielles, plaqueabhängiges, zuckergesteuertes und dynamisches Geschehen zu begreifen, bei dem es zu einem Ungleichgewicht zwischen der Demineralisation durch Säuren in bzw. unter vorhandener kariogener Plaque und der Remineralisation durch den Mundspeichel kommt (vgl. Abb. 2).
Bleiben diese kariösen Läsionen der Zahnhartsubstanz unerkannt/-behandelt, können als Folgeerkrankungen für die Kinder sehr schmerzhafte Pulpitiden bis hin zu Abszedierungen im Zahnwurzelbereich auftreten. Tritt Zahnverlust mit dadurch einhergehender Lückenbildung in den Zahnreihen auf, kann die Sprachentwicklung nachhaltig behindert werden, sodass logopädische Begleittherapien erforderlich werden. Ab wann frühkindliche Karies (ECC) ein Anzeichen der Kindesvernachlässigung/Kindeswohlgefährdung darstellt, ist in der Mundgesundheitsampel für Hessen geregelt.
In Hessen wurde im Jahr 2022 ein bisher bundesweit einmaliges Modellprojekt gestartet. Dies unter fach- und berufsübergreifender Beteiligung der hessischen Landeszahnärzte-/Landesärztekammer, der Kassenzahnärztlichen-/Kassenärztlichen Vereinigung, der Berufs-/Landesverbände der Kinder- und Jugendärzte und Hebammen, der Krankenhausgesellschaft sowie der Landesarbeitsgemeinschaft für Jugendzahnpflege. Ziel dieses Projektes ist es, die Mundgesundheit im Milchgebiss der Kinder zu verbessern, indem der Progredienz der frühkindlichen Karies entgegengetreten werden soll. Hierfür wird die Zusammenarbeit der Zahnärzte und Ärzte durch die Einführung des sogenannten „Doppelpacks“ intensiviert werden (vgl. Abb. 3).
Seit 2022 erhalten alle Eltern nach der Geburt ihrer Kinder eine Mappe bestehend aus dem bekannten ärztlichen Untersuchungsheft („Gelbes Heft“) und nun zusätzlich dem neu eingeführtem zahnärztlichen Untersuchungsheft. Diese interdisziplinäre Zusammenarbeit der Zahnärzte mit den Kinderärzten orientiert sich an den Bedürfnissen der Kleinkinder. Wird die kindliche Mundhöhle als „Spiegel“ des Kindes selbst gesehen, erklärt sich, dass viele Überschneidungen der Bereiche Kinderzahnheilkunde und Kinderheilkunde existieren.
Da Kleinkinder Zahnschmerzen noch nicht richtig einordnen bzw. verbalisieren können und da kariöse Läsionen gerade im Anfangsstadium von den Eltern nicht erkennbar sind, bedarf es, unter der Verwendung geeigneter Hilfsmittel, regelmäßiger eingehender Untersuchungen Fachkundiger. Hier kommt den kinderfreundlichen Zahnarztpraxen eine besondere Bedeutung zu. Sie können Karies frühzeitig diagnostizieren und dadurch gesundheitliche Schäden abwenden bzw. minimieren. Im optimalen Fall können initiale kariöse Läsionen im Sinne einer Heilung remineralisiert werden (siehe Grafik zur De- bzw. Remineralisation).
Ein weiterer Ansatz zur Vermeidung der frühkindlichen Karies (ECC) ist, die zahnärztliche Vorsorge bereits in der Zeit der mütterlichen Schwangerschaft beginnen zu lassen. Hierfür stellen die zahnärztlichen Körperschaften allen gynäkologischen Praxen in Hessen den sogenannten „Einleger“ für den Mutterpass zur Verfügung (Abb. 4).
Dieser Ansatz hat sowohl die Schwangeren selbst als auch die Kinder im Focus. Da unter der Schwangerschaft ca. 75 Prozent der Frauen eine Schwangerschaftsgingivitis entwickeln, die das Risiko von Früh- und Fehlgeburten erhöht, ist hier die Notwendigkeit der Intervention gegeben. Der Mundgesundheit der Kinder dienlich ist die Aufklärung der Eltern über die Mundpflege ab dem Tag der Geburt, da die Mundpflege bereits in der zahnlosen Mundhöhle beginnt. Über diesen Link gelangen Sie zu einem Videobeitrag auf YouTube: https://www.youtube.com/c/zahnputzzauber
Es wird sowohl darüber informiert, welche Bedeutung das Stillen hat und wie Säuglinge und Kleinkinder richtig ernährt werden als auch über das ausschließliche Trinken von Wasser und die Auswirkungen eines Nuckel Habits. Auch die individuelle zahnärztliche Vorsorge mit dem praktischen Üben der Zahnpflege im Mund des eigenen Kindes unterstützt die Eltern kontinuierlich und bringt ihnen die Mundhygienemaßnahmen nahe.
Die Sinnhaftigkeit des Vorsorgeansatzes spiegelt sich auch in der Zurverfügungstellung finanzieller Mittel von Seiten der gesetzlichen Krankenkassen wider. Die 2019 in Kraft getretene Neufassung der Richtlinie über die Früherkennungsuntersuchungen in Verbindung mit den Abrechnungspositionen im Bewertungsmaßstab (BEMA) regelt für gesetzlich versicherte Kleinkinder vom 6. bis zum vollendeten 33. Lebensmonat drei neue zahnärztliche Früherkennungsuntersuchungen (FU 1a, 1b, 1c). Darüber hinaus bleibt der Anspruch für Kinder vom 34. (bisher 30.) Lebensmonat bis zum vollendeten sechsten Lebensjahr erhalten (FU 2). Die zahnärztlichen Früherkennungsuntersuchungen wurden hinsichtlich der zeitlichen Intervalle mit den ärztlichen Kinder-Vorsorgeuntersuchungen synchronisiert. Damit alle Eltern diese bestehenden Vorsorgemaßnahmen auch in Anspruch nehmen, sollten alle Ärzte das Verweissystem nutzen und ab der U5-Untersuchung sechsmal in Folge die Kinder an den zahnärztlichen Kollegen zur Vorsorge überweisen. Dadurch würde automatisch die Verpflichtung der Eltern zur Wahrnehmung aller U-Untersuchungen, den Kindern den Weg in eine kinderfreundliche Zahnarztpraxis bahnen. Hierin besteht die große Chance auf eine lebenslange Zahngesundheit der Kinder. Denn Kinder mit gesunden Milchzähnen haben eine bis zu 90-prozentige Chance auf gesunde bleibende Zähne (vgl. Abb. 5).
Das Ziel und zu hoffen bleibt, dass die frühkindliche Karies (ECC) durch die Intensivierung der interdisziplinären Zusammenarbeit aller beteiligten „Teamplayer“ im Sinne einer weiteren Verbesserung der Mundgesundheit eingedämmt werden kann.
Dr. med. dent. Maik F. Behschad, Vizepräsident der Landeszahnärztekammer Hessen (LZKH)
Dr. med. dent. Andrea Thumeyer, Vorsitzende Landesarbeitsgemeinschaft Jugendzahnpflege in Hessen (LAGH)
Kontakt per E-Mail: presse@lzkh.de







