Das Lungenkarzinom zählt zu den häufigsten Krebsarten. In Deutschland erkranken jährlich knapp 60.000 Menschen an einem Lungenkarzinom, weltweit über 2,2 Millionen [1–4]. Bisher ist die Prognose sehr ungünstig: Ca. 75–80 % der Lungenkarzinompatienten versterben an ihrer Erkrankung, das sind ca. 45.000 Menschen pro Jahr in Deutschland. Das Lungenkarzinom repräsentiert somit die häufigste krebsbedingte Todesursache, jährlich sterben in Deutschland mehr Menschen an Lungenkrebs als an Darmkrebs und Brustkrebs zusammen [1–4]. Wichtigster Risikofaktor ist der Zigarettenkonsum, weitere Risikofaktoren umfassen berufliche Karzinogene (z. B. Asbest, Chromverbindungen), Umweltfaktoren (z. B. Radon) und chronische Lungenerkrankungen [5–8].
Lungenkarzinome verursachen im frühen Stadium meist keine Beschwerden, daher wird die Erkrankung oft erst im fortgeschrittenen, d. h. regional oder fernmetastasierten Stadium diagnostiziert, so dass kein operatives Vorgehen mehr möglich ist [5, 9]. In den fortgeschrittenen Stadien liegt die 5-Jahresüberlebensrate nur bei ca. 20–25 % (Stadium III) bzw. 5–10 % (Stadium IV), während im frühen Stadium I eine 5-Jahresüberlebensrate von ca. 65–75 % erreicht wird [10].
Vor diesem Hintergrund wurden in der jüngeren Vergangenheit mehrere große klinische Studien zur Lungenkrebsfrüherkennung mittels Niedrigdosis-CT bei Hochrisikopatienten durchgeführt. In diesen Studien konnte durch das Screening eine deutliche Stadienverschiebung von den fortgeschrittenen zu den frühen Stadien und eine Reduktion der lungenkrebsassoziierten Sterblichkeit um 20–25 % nachgewiesen werden [11–14]. Das Ziel der Lungenkrebsfrüherkennung ist es daher, Tumore in einem frühen Stadium nachzuweisen und die Patienten einem kurativen, d. h. in der Regel operativen Behandlungskonzept zuzuführen. Hierbei kommen heutzutage meist sehr schonende, minimal-invasive thoraxchirurgische Verfahren zum Einsatz: VATS (Video-assistierte thorakoskopische Chirurgie) und zunehmend auch RATS (Roboter-assistierte thorakoskopische Chirurgie). Vorteile dieser Verfahren im Vergleich zu den offenen Lungenoperationen sind vor allem kleinere Inzisionen, geringere Schmerzen, geringerer Blutverlust sowie schnellere Mobilisierung, Krankenhausentlassung, Genesung und somit Erhalt der Lebensqualität [15–17].
Rechtsgrundlage der Lungenkrebsfrüherkennung ist die „Verordnung über die Zulässigkeit der Anwendung der Niedrigdosis-Computertomographie zur Früherkennung von Lungenkrebs bei rauchenden Personen (Lungenkrebs-Früherkennungs-Verordnung – LuKrFrühErkV)“ des Bundesministeriums für Umwelt, Naturschutz, nukleare Sicherheit und Verbraucherschutz (BMUV) vom 15.5.2024 [18]. Durch diese wurde die Lungenkrebsfrüherkennung strahlenschutzrechtlich zulässig.
Für aktive und ehemalige starke Raucher
In seiner Sitzung am 18.06.2025 hat der Gemeinsame Bundesausschuss (G-BA) schließlich die Einführung einer neuen Früherkennungsuntersuchung auf Lungenkrebs mittels Niedrigdosis-CT in Deutschland für aktive und ehemalige starke Raucher als Leistung der gesetzlichen Krankenversicherung beschlossen [19]. Da nach rechtlicher Prüfung seitens des Bundesgesundheitsministeriums keine Einwände bestanden, ist der Beschluss mit Veröffentlichung im Bundesanzeiger am 5.9.2025 in Kraft getreten. Der erweiterte Bewertungsausschuss, bestehend aus GKV-Spitzenverband und Kassenärztlicher Bundesvereinigung, hat nun die Höhe der ärztlichen Vergütung nach EBM für diese Leistung innerhalb von sechs Monaten festzulegen. Zudem wurde vom GBA eine Versicherteninformation zur Lungenkrebsfrüherkennung verabschiedet [20]. Auch diese ist nach Prüfung durch das Bundesgesundheitsministerium inzwischen in Kraft getreten.
Bei der Lungenkrebsfrüherkennung handelt sich um ein bundesweites Programm. Die Teilnahme ist freiwillig, d. h. eine Nichtteilnahme hat keine negativen Auswirkungen auf den Erhalt von Leistungen aus der gesetzlichen Krankenversicherung [19–21]. Das Angebot richtet sich zunächst ausschließlich an starke aktive oder ehemalige Raucher und Raucherinnen (mindestens 25 Jahre lang geraucht; mindestens 15 Packungsjahre; weniger als zehn Jahre Rauchstopp) im Alter zwischen 50 und 75 Jahren [19–21]. Gemäß der Lungenkrebs-Früherkennungs-Verordnung, des G-BA-Beschlusses und der genannten Versicherteninformation wird das Lungenkrebsfrüherkennungsprogramm folgendermaßen ablaufen [18–21]: Beteiligt sein werden Fachpraxen und -kliniken, die besondere Voraussetzungen erfüllen (Genehmigung, Ausbildung und Erfahrung, Kooperation zwischen spezialisierten Praxen und Kliniken). Im Gegensatz zum Mammographie-Screening wird keine zentrale Einladung zur Teilnahme erfolgen. Bei Interesse stellen sich die Patienten initial in einer Praxis vor, die sich an der Früherkennung beteiligt (Hausärzte, Internisten, Lungenfachärzte, Arbeitsmediziner). Dort wird geprüft, ob die Voraussetzungen zur Teilnahme (z. B. Alter, Raucherstatus) erfüllt sind, außerdem wird – unterstützt durch eine schriftliche Versicherteninformation – ein Informationsgespräch über Schaden und Nutzen einer Niedrigdosis-CT zur Lungenkrebsfrüherkennung geführt. Die Ergebnisse werden in einem Bericht zusammengefasst und der Patient wird in eine radiologische Praxis überwiesen, die eine Genehmigung zur Früherkennung hat [19].
An die teilnehmenden radiologischen Praxen werden hierbei hohe Anforderungen gestellt (z. B. Mindestuntersuchungszahlen, Zertifizierung). Hierzu hat die Bundesärztekammer im Dezember 2025 Vorgaben zu den erforderlichen Fortbildungsmaßnahmen für die Lungenkrebsfrüherkennung sowohl für Radiologen (Erstbefunder, Zweitbefunder) als auch für sogenannte erstberatende Ärzte (Hausärzte, Internisten, Arbeitsmediziner) veröffentlicht [22].
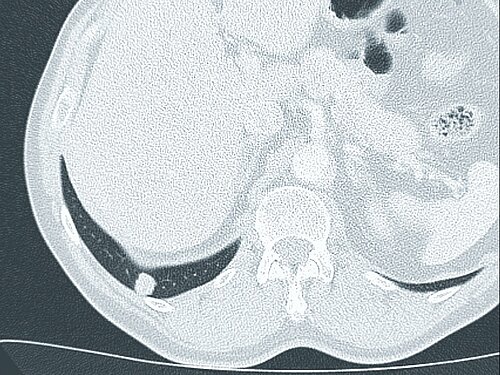
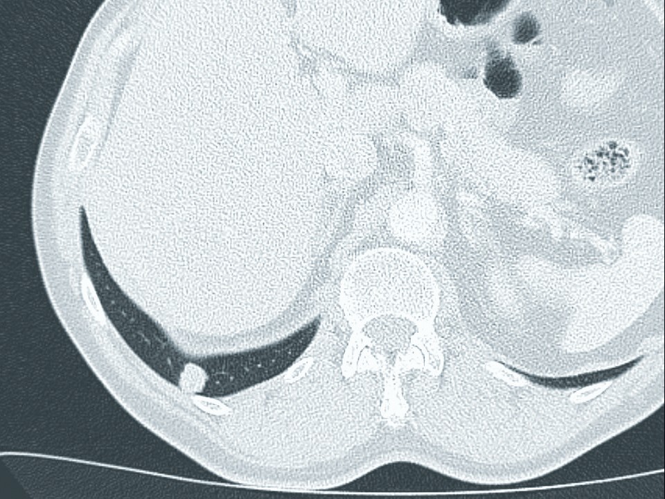
In der radiologischen Praxis wird – nach Überprüfung des Berichtes und der Teilnahmevoraussetzungen (z. B. kein Thorax-CT in den vergangenen 12 Monaten) – ein Untersuchungstermin zur Niedrigdosis-CT vergeben. Genaue Vorgaben für die Durchführung der Niedrigdosis-CT sind in der Lungenkrebs- Früherkennungs-Verordnung beschrieben [18]. So darf ein Volumen-Computertomographie-Dosisindex von 1,3 Milligray nicht oder nur im Einzelfall aufgrund der Körperstatur (z. B. bei Adipositas) überschritten werden. In der Verordnung zwingend vorgeschrieben ist die Verwendung von Software zur computerassistierten Detektion zur Unterstützung des Radiologen. Nach Beurteilung der CT-Bilder und Überprüfung auf Auffälligkeiten in einer ersten Sitzung durch den Erstbefunder erfolgt durch diesen eine zweite, durch die Software unterstützte Befundung (Rundherderkennung, Volumenbestimmung, Volumenverdoppelungszeit etc.). Sollten sich auffällige Befunde ergeben, werden diese durch einen zweiten Radiologen (Zweitbefunder, in einem Lungenzentrum) begutachtet.
Hieraus ergibt sich eine gemeinsame abschließende Beurteilung. Die radiologische Auswertung erfolgt als strukturierte Befundung gemäß der sogenannten modifizierten Lung-RADS-Klassifikation mit Volumenverdopplungszeit [23]. Das weitere Vorgehen hängt vom Ergebnis ab, wobei es drei Kategorien gibt. Bei einem unauffälligen Befund wird nach 12 Monaten eine erneute Niedrigdosis-CT durchgeführt. Bei einem kontrollbedürftigen Befund (= mutmaßlich gutartig oder nicht verdächtig genug, um eine invasive Abklärung zu rechtfertigen) sollen z. B. vorzeitige Kontrollen mittels Niedrigdosis-CT nach drei oder sechs Monaten durchgeführt werden. Bei einem abklärungsbedürftigen Befund (= sehr verdächtiger Befund) soll eine zeitnahe klinische Abklärung erfolgen (Besprechung in Fallkonferenz, invasive Diagnostik (Biopsie)).
Anzumerken bleibt, dass es neben den offensichtlichen Vorteilen der Teilnahme an der Lungenkrebsfrüherkennung (Erkennung im Frühstadium, verbesserte Heilungschancen (z. B. durch Möglichkeit des operativen Vorgehens), reduziertes Risiko an Lungenkrebs zu versterben) auch potenzielle Nachteile und Limitationen gibt (falsch positive CT-Befunde, die weiterer Untersuchungen bedürfen und daher mit unnötigen Sorgen und Stress verbunden sind; Überdiagnosen, d. h. Entdeckung und Abklärung von Tumoren, die nie Probleme gemacht hätten, zum Beispiel weil sie sehr langsam wachsen oder weil der Teilnehmer vorher an einer anderen Erkrankung (z. B. Myokardinfarkt) verstirbt; mögliche Komplikationen durch Folgeeingriffe/invasive Diagnostik; falsch negative Befunde). Gemäß der Pressemitteilungen des G-BA kann das Screening, wenn die Vergütung festgelegt ist, voraussichtlich Anfang April 2026 starten. Die Öffentlichkeit, die potenziellen Teilnehmer und Teilnehmerinnen und auch die Ärzteschaft müssen über die neue Lungenkrebsfrüherkennung weiter informiert werden, um die Bekanntheit zu steigern und möglichst hohe Teilnahmequoten zu erreichen.
Aufgrund der Komplexität des Programms und der Vielzahl der Akteure sind zur Etablierung der Lungenkrebsfrüherkennung noch zahlreiche Schritte und Details zu klären bzw. zu erledigen (z. B. Genehmigung durch zuständige Behörden hinsichtlich Strahlenschutz, Genehmigung durch die zuständige Kassenärztliche Vereinigung, Kooperationsverträge zwischen Praxen und Lungenkrebszentren in Kliniken, Fortbildung der teilnehmenden Radiologen und zuweisenden Ärzte, Auswahl der Software, Qualitätssicherung, etc. ).
Abschließend bleibt festzuhalten, dass ein Lungenkrebsfrüherkennungsprogramm die Entstehung von Lungenkrebs nicht verhindern kann. Ganz entscheidend ist daher Prävention: Nur der Rauchstopp senkt das Lungenkrebsrisiko. Daher gehören auch Angebote und Informationen zur Rauchentwöhnung zu den Bestandteilen der schriftlichen Versicherteninformation und der ärztlichen Gespräche im Rahmen der Lungenkrebsfrüherkennung.
Prof. Dr. med. Philipp Markart, Medizinische Klinik V (Pneumologie), Klinikum Fulda; Universitätsmedizin Marburg, Campus Fulda
Dr. med. Nicolai Schramm, Radiologie und Nuklearmedizin im Zentrum Vital, Fulda
Dr. med. Bora Kosan, Abteilung für Thoraxchirurgie, Klinikum Fulda; Universitätsmedizin Marburg, Campus Fulda
Die Literaturangaben finden Sie hier.



